Welcome to our Smile Gallery, where you can explore the transformative results of our Irvine dental care services. We take great pride in offering a wide range of cosmetic dentistry treatments designed to enhance both the appearance and health of your smile. Whether you’re considering dental implants to restore lost teeth, seeking Invisalign for a discreet orthodontic solution, or interested in sedation dentistry to ensure a comfortable experience, our team is here to help you achieve your ideal smile.
At our practice, we combine the latest advancements in dental technology with a compassionate approach to ensure your comfort and satisfaction. Browse through our Smile Gallery to see the possibilities for your own smile transformation!
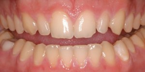
Before



After



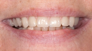
The patient above wanted to correct her spaces but was told she needed two to three years of braces and surgery. Dr. Rice was able to complete the treatment in just a few weeks. Treatment: Porcelain Veneers and Porcelain crowns.
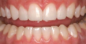
Before


After


The above patient did not like the extreme translucent grey of her teeth along with the shape, nor the size and spaces. Treatment: Porcelain Veneers
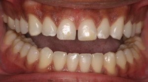
Before

After

The patient above had small, narrow, chipped teeth. Treatment: Dental Veneers
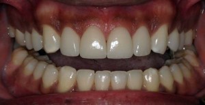
Before

After

This female patient had worn-down, short, square teeth that she was unhappy with. Her treatment: Correct the bite that was out of balance causing the worn teeth, then porcelain veneers.
Before

After

Above, are the before and after smiles of wife of a local dentist. She had spaces and narrow teeth. Treatment: Porcelain Veneers.
Before


After


The above gum disease patient suffered from severe receding gums. Dr. Rice performed gum grafting. The second after photo shows treatment on the patient’s right side (left side of photo), before her left side received treatment to show the dramatic result.
Before



After



The above female patient came to the office because she was unhappy with a front tooth crown that was just completed by another dentist. It was too opaque and unnatural looking. After multiple tries, the “cosmetic” dentist told her that it was the best that could be done. Her original plan was to take care of the dark tooth next to the crown and close the gap, but she did not dare to move forward because of the poor result on the crown. Dr. Rice redid the crown and also fixed the dark tooth next to it creating a natural result. Even in an extreme close-up, it is impossible to tell which teeth are hers and which teeth Dr. Rice treated.
Before


After


The above patient wanted to correct the spaces between her teeth and get a whiter smile. Treatment: Porcelain Veneers.
Before


After


The patient above wanted to replace her old dental work with newer, more natural looking crowns. Treatment: Laser gum lift and dental crowns
Before



After



This female patient above was born missing a few front teeth. Among other things, her eye tooth moved into a front tooth position and the nerve died in another tooth causing it to turn dark. In the past, her dentist tried to fix the problem, but the results were never what the patient was hoping for. Dr. Rice’s treatment: Crown lengthening, Gum lift, a new crown and Porcelain Veneers made by master ceramists.
Before


After

The above male patient was too busy to get around to fixing his teeth. After a consultation with Dr. Rice and a plan that would only take a few visits over a month or so, he got the smile that he always wanted. Treatment: Full mouth reconstruction, Porcelain Veneers, Porcelain Crowns, Dental Implants.
Before


After


The patient above is in broadcasting and wanted a perfect smile. She had her teeth bonded when she had an accident that chipped a couple of them and the repair was looking old. Her lateral incisors were a little narrow, the cuspids were flat and the two front teeth were too prominent. Her teeth were also angled incorrectly. Treatment: Porcelain Veneers.
Before


After


This patient had teeth with a genetic defect that left the surface of her teeth irregular, chalky, pitted and opaque. She wanted smooth, natural looking teeth, overly white, but just nice and clean and pretty. Treatment: Porcelain Veneers, and chemical/abrasive resurfacing of the enamel on the teeth that were not veneered.
Before




After




Pictured above, this patient is a beautiful woman who wanted the spaces in her teeth closed and the upper front teeth brought back, all without braces. Unbelievably, the final result was completed in just a few weeks without braces.
Before


After


Before


After


What a difference veneers made for the above patient!
Before


After


This patient had crowded teeth and some old fillings. Treatment: Porcelain Veneers and Porcelain Crowns
Before



After




Before



After



The above patient hardly had time for a consultation, but knew he had to deal with his dental problems. He grinds his teeth in his sleep, gets headaches, and has worn down his teeth severely. His TMJ (Jaw Joint) is at risk for degeneration. Treatment was Full Mouth Reconstruction in just a few visits. Treatment time was two to three months, which is longer than normal, because Dr. Rice needed to correct the jaw joint problem and grinding problems. He wanted to make sure the patient’s bite was completely comfortable before the final phase.
Before


After


This patient had what is termed a “reverse smile line”. The upper front teeth did not follow the lower lip properly for the best appearance. She drove past many dental offices to consult with Dr. Rice. Treatment: Porcelain Veneers.
Before



After



Our patient above continuously broke and cracked his old veneers and crowns before coming to our practice. He had a bite problem that caused the continuing failures. Dr. Rice treated Neil in 2004 (as shown in photos) and he is still going strong without any breakage or additional dental work (except his cleanings of course!)
Before

After


This woman had old crowns that were contributing to her gum inflammation around the four upper front teeth. The old crowns were bulky, opaque, yellow and shaped poorly. When she became our patient, Dr. Rice was not only able to do the new crowns but he was able to heal the dark, inflamed gum tissue so that now it looks healthy like the rest of the mouth. Treatment: Porcelain Crowns made by master ceramist and periodontal, flapless crown lengthening.
Before


After


This TMJ patient had a severe grinding and wear problem. His bite didn’t come close to fitting together properly due to multiple jaw joint problems. After his bite problem was diagnosed properly by Dr. Rice, he was able to treat the patient’s entire mouth in two visits using sedation. Treatment: TMJ treatment with Full mouth reconstruction, Porcelain crowns, Porcelain Veneers.
Before


After


This patient (above) wanted to correct her short teeth that did not show very much when she smiled. Treatment: Veneers to lengthen, reshape and lighten her teeth
Before


After


This patient (above) wanted to close the space between his front teeth, and to get a better shape and size to them, but the most important thing to him was a very natural appearance: No Hollywood smile! Dr. Rice accomplished this with conservative veneers.
Before

After

This patient, a commercial airline pilot, decided to correct his spaces with Porcelain Veneers.
Before


After


This woman wanted a smile that was more full. Her teeth were smaller and her smile did not look wide enough. She also showed more gum tissue than she liked when she smiled. Treatment: Cosmetic dentistry, including Porcelain veneers and laser gum lift.
Before


After


This patient had crowded, worn teeth and a jaw problem that caused pain, cracking sounds and muscle soreness. Dr. Rice treated him with “Six Month Smiles” orthodontics, and a full mouth reconstruction. Wearing clear braces was worth it to Joel to get the very best result.
Before

After

The above patient, an artist, was frustrated with her teeth. She had spent thousands on her teeth and all of the dental work did not last long. Her dental work would constantly break. Her bite was uncomfortable. She could not chew certain foods, and she was very unhappy with the appearance of her teeth. She was afraid to move forward due to the failure rate of her dental work, but she trusted Dr. Rice and his treatment plan that was designed to reduce the risk of failure and last as long as possible. Her treatment included a full mouth reconstruction with dental implants, porcelain crowns, and porcelain veneers. Her bite problem was fixed and she can now chew any food she wants.
Before


After


Above, this patient replaced old dental work and received a beautiful smile. Treatment: Porcelain Veneers and Porcelain Crowns
Before


After


This cosmetic dentistry patient had old bonding that was done when he was quite young. He replaced them, with Porcelain Veneers that will last much longer.
Before


After


This patient had severe wear and a very gummy smile. Treatment: Cosmetic Crown lengthening and Porcelain Veneers
Before


After


This patient suffered from severe headaches. He went to Neurologists, pain clinics, and multiple doctors. His medical doctor said it could be TMJ (jaw joint / bite) problems, so he should have a qualified dentist check it out. After numerous exams and multiple consultations with some of the best dentists in Irvine, the patient chose Dr. Rice to treat him. Dr. Rice felt privileged that this man trusted him and decided to move forward with treatment. First, Dr. Rice worked to get rid of the headaches and confirm that it was indeed a dental related problem. Then, the full mouth reconstruction required a few sedation visits that included extracting a few teeth that were not restorable, placing bone grafts and dental implants (by Dr. Nicolas Ravon in Dr. Rice’s office), Porcelain crowns, porcelain veneers, and implant crowns.
Before


After


Before


After


Before

After

 















